四个月的康复之路,我们一同走过~
时间:2025-10-14导语当多家医院的预后判断都指向“轮椅生活”时,希望在哪里?对于脑出血术后的曹女士(化名)一家而言,希望,源于不放弃的坚持,更始于一份专业评估后给出的科学康复方案。四个月,我们交出了一份令患者和家属都超...

导语当多家医院的预后判断都指向“轮椅生活”时,希望在哪里?对于脑出血术后的曹女士(化名)一家而言,希望,源于不放弃的坚持,更始于一份专业评估后给出的科学康复方案。四个月,我们交出了一份令患者和家属都超...

当清晨的阳光洒进治疗室,李大爷正在治疗师的引导下,努力地迈出一步,又一步。对于很多人来说,这只是简单的抬腿,但对他而言,却是一场重获新生的战役。在日照市康复医院康复诊疗中心,这样的场景每天都在上演。许...
在日照市康复医院,康复诊疗中心主任张寨龙的名字,总是与“信任”“专业”和“温暖”紧密相连。作为一名拥有十几年临床经验的康复治疗师,他始终秉持科学康复理念,以精湛技术和人文关怀,帮助无数患者重建功能、重...
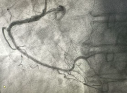
专业守护从“心”开始日照市康复医院心脏康复科今年73岁的于大爷(化名),半月前突发持续性胸痛被紧急送至我院急诊科。检查发现,于大爷患有急性广泛前壁心肌梗死,情况危急。既往有高血压病史4年,血压最高达1...

朝看菊渐黄寒露惊秋晚秋意渐浓,寒露悄至。此时节气温骤降,昼夜温差加大,空气也愈发干燥,宝宝娇嫩的身体容易受到“寒”与“燥”的侵袭,感冒、咳嗽、脾胃不适等问题也随之而来。别担心,中医小儿推拿是这个季节守...
多年顽石,不堪其扰“终于解脱了!早知道我早点来就好了!”看着手中彩超报告“未见明显异常”的字样,赵先生长长地舒了一口气。辗转多家医院、多次碎石并经历手术的输尿管结石,最终在五莲县中医医院用体外冲击波仪...
金杯银杯不如患者口碑医患间的“双向奔赴”~一纸手写信,带着病痛消散后的喜悦,被送到了我院疼痛康复科张永忠主任手中。写信人宋女士(化名)在字里行间诉说着,她不仅感谢张主任治好了困扰她许久的身体疼痛,更特...