两小时,助力她跑赢未来每一步!
时间:2025-11-27日照市康复医院骨科手术案例在日常生活和交通出行中,意外伤害时有发生。及时、专业的医疗干预,往往是决定患者功能恢复程度的关键。案例介绍月前,在村中骑电动车的王女士(化名)不小心被垂落的电缆勒伤颈部并摔倒...
日照市康复医院骨科手术案例在日常生活和交通出行中,意外伤害时有发生。及时、专业的医疗干预,往往是决定患者功能恢复程度的关键。案例介绍月前,在村中骑电动车的王女士(化名)不小心被垂落的电缆勒伤颈部并摔倒...

0111月22日,小雪节气,冬意渐浓。日照市康复医院院长行政查房工作小组深入手术室,通过现场检查与座谈交流,推动手术室精细化管理水平全面提升。清晨,院长行政查房小组走进手术室,对设备运行、无菌管理、手...
专业评估还您一份安心日照市康复医院儿童康复科3岁是儿童认知发展的关键期,大脑神经可塑性达到高峰。在这一阶段,幼儿的思维模式正从感知运动阶段向前运算阶段过渡,开始使用符号理解世界,语言表达能力迅速发展,...
近日,我院骨科团队成功为一名因车祸导致“左侧肱骨近端粉碎性骨折”的老年患者实施高难度 “反式全肩关节置换术” 。术后患者肩关节功能恢复良好,生活质量得到显著提升。突发车祸致骨折,精准诊断是关键67岁的...
日照市康复医院高压氧舱24小时健康守护随着气温骤降,供暖季节来临,"隐形杀手"一氧化碳也进入了活跃期。这个无色无味的危险分子,可能就潜伏在我们身边。一旦发生一氧化碳中毒,高压氧治疗是最有效的救治手段之...
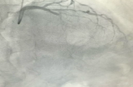
微创介入精准施治日照市康复医院近日,日照市康复医院心脏康复科团队成功为一名近70岁老年冠心病患者实施了冠脉支架植入术,精准在前降支(LAD)病变处植入支架一枚,解决了其长达6年的胸闷、憋气等症状,使患...

日照市康复医院脊髓神经刺激器置入术——骨科一场突如其来的疾病,让孙女士(化名)的双腿逐渐失去力量,她的人生轨迹也由此改变。多年来,孙女士和家人辗转多家医院寻求治疗,重新站稳行走的愿望却始终未能实现。近...