堵了20年的“脊椎隧道”,通了!
机器人导航下
腰椎管减压融合术

“医生说我脊椎里的‘隧道’堵了20年,是机器人帮忙‘疏通’的。现在腿轻快了,感觉自己年轻了十岁!”术后一周,63岁的李阿姨(化名)扶着助行器,在病房走廊里缓缓行走。而就在一周前,她还因腰椎管狭窄导致右腿无力,无法独立行走。

20年腰痛困扰
李阿姨年轻时长期从事体力劳动,20年前开始出现腰臀部酸痛伴双下肢麻木,弯腰时疼痛明显,但休息后可缓解。多年来,她尝试过贴膏药、口服止痛药、针灸推拿等方法,但症状反复。4个月前,病情出现明显加重:右下肢无力,走路像“踩棉花”,持续行走10分钟左右就必须坐下休息;夜间因右腿疼痛时常醒来,每晚只能睡2-3小时。保守治疗效果不理想,她曾多次就医,但症状未见改善。
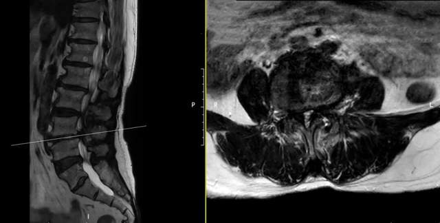
入院MRI检查显示:
○ 腰3/4、腰4/5多节段椎管狭窄,神经根受压严重。

机器人导航+微创减压,
精准解除神经压迫

面对高龄、多节段病变的情况,传统开放手术创伤较大(出血多、恢复慢),而单纯减压可能无法解决脊柱不稳问题。我院骨科团队为其制定了“机器人导航下腰椎管减压融合术”精准微创治疗方案:
01
机器人导航辅助定位
术前3D规划:基于CT数据,机器人提前计算椎弓根钉道,误差<0.5mm。
术中实时纠偏:机械臂自动避开血管神经,尤其适合骨质疏松患者。
02
微创通道下神经松解
仅10mm切口:通过工作通道完成腰3/4、腰4/5椎间融合,神经根松解,解除神经压迫。
镜下神经松解:放大视野下分离粘连神经根,避免牵拉损伤。
03
椎间融合重建稳定性
植入生物相容性融合器,恢复椎间隙高度。
手术历时2.5小时,出血仅200ml。
技术突破:
机器人导航在脊柱手术中的应用价值
术后影像:

提高置钉精准度
腰椎管狭窄常伴有韧带钙化、神经粘连等情况,徒手操作存在一定风险。机器人辅助可实现亚毫米级定位,尤其在复杂节段更具优势。
减少肌肉损伤
传统开放手术需广泛剥离椎旁肌肉,术后慢性腰痛发生率约30%。微创通道技术可保留约90%的椎旁肌,降低邻椎病发生风险。
促进术后康复
数据显示,采用该技术的患者平均下床时间较传统手术提前约3天,有助于降低卧床相关并发症风险。
专家解读:
腰椎管狭窄的识别与就诊时机
骨科主任尹绍猛提醒,当腰痛合并以下症状,需警惕椎管狭窄:
间歇性跛行:走路后下肢胀痛,蹲下休息缓解。
夜间痛醒:静息状态仍持续疼痛。
进行性无力:如足下垂、踩台阶困难等。
治疗建议:一旦出现肌力下降,建议在6个月内进行评估和干预,避免神经功能发生不可逆损伤。
骨科咨询电话:7991618
专家介绍

尹绍猛 主任医师
擅长:脊柱内镜,关节镜,人工关节置换,骨科疑难杂症,周围血管病变。已独立完成膝关节置换、髋关节置换手术近3000例;独立完成脊柱内镜手术2000余例,肩、膝关节镜手术2000余例、颈椎前后路开放手术、腰椎后路TL IF手术2000例,骨肿瘤巨创手术200余例。
执业经历:曾任承德医学院附属医院骨科副主任兼关节病区主任、宁波明州医院骨科主任、江苏澳洋医院骨科中心主任、上海市闵行区中医医院骨科主任;河北承德市医学会骨科分会原副主委、张家港市医学会骨科分会原副主委、宁波市医学会骨科分会原委员、苏州市外科学会委员、血管外科委员、江苏省骨科分会微创学组委员。从事骨科临床工作30余年,对骨科有着丰富的临床诊疗经验,在北大三院骨科、北大人民医院关节外科进修学习脊柱外科、关节外科和关节镜技术。主编、参编骨科专业著作两部,发表SCI论文及全国期刊论文多篇。
骨科简介

日照市康复医院骨科是集医疗、教学、科研为一体的现代化专科,专注骨骼、关节及运动系统疾病的精准诊疗。科室以微创技术为核心,配备国际先进设备,致力于为患者提供个性化、全周期的骨骼健康解决方案。
科室目前有员工45人,医师16人,护士24人,专业康复治疗师4人,宣教组1人,标准床位120张,科室现行开展机器人导航下行经皮椎弓根螺钉内固定术+植骨术,单髁置换术,反式全肩关节置换术,机器人辅助下膝关节置换术,髋关节置换术,脊柱内镜术,颈椎前后路开放术,腰椎后路TLIF术,骨肿瘤巨创术,肩、膝关节镜,股骨头坏死保髋术、腰椎椎体成形术,骨肿瘤切除+人工骨植入+钛板内固定术,颈椎前路微创术,双足距下关节关节制动术等。
科室在骨病、特别是退行性疾病等专业方面突出专业特色,让患者在家门口享受上级医院专家的医疗服务,拥有优质、高效的服务流程,绿色通道畅通无阻,实行一站式无中转医疗服务,解决患者的各种医疗需求。
骨科团队引进国际先进康复理念,形成了骨科诊疗康复一体化的治疗模式。康复团队由骨科康复治疗师及临床医师共同组成,面对骨科的所有患者,与手术治疗构成无缝连接,使骨科患者在接受手术的第一时间就获得康复的介入,为手术后的顺利康复提供有力保障、显著改善了术后功能。
诊疗范围
✔ 骨折创伤:四肢骨折、脊柱骨折、关节损伤等
✔ 骨关节疾病:关节炎、骨质疏松、股骨头坏死等
✔ 脊柱问题:颈椎病、腰椎间盘突出、脊柱侧弯等
✔ 运动损伤:韧带撕裂、半月板损伤、肩袖损伤等
✔ 先天/后天畸形:手足畸形、肢体矫形等
科室优势
1、技术领先:开展关节镜、椎间孔镜等微创手术,创口小、恢复快;
2、 多学科协作:联合康复科打造“一站式”诊疗服务;
3、 特色门诊:开设骨质疏松、运动医学、脊柱健康等专病门诊;
4、快速康复体系:术后结合中医理疗、现代康复技术,加速功能重建。
(免责声明:部分文字及图片来源于网络,仅供学习、交流使用,不具有任何商业用途,版权归原作者所有,如有问题请及时联系我们以作处理。)
- 上一篇:揭秘ICU里的“喂饭黑科技”
- 下一篇:藏在肩膀里的“小石子”,偏爱找中年女性?
