人家都指名道姓的来了!

“感谢康复医院,感谢咱们的医护人员对我的救治和照顾。”一声声感谢的话语回荡在急诊科和神经康复科的病房里。
近日,日照市康复医院急诊科在神经康复科、影像中心、检验科等多部门的共同协助下,通过卒中绿色通道成功对一例急性缺血性脑卒中患者进行了静脉溶栓治疗,及时有效的守护了患者的生命。
2月4日早上7:53分,我院急诊科接到紧急求助电话,患者李女士(化名),58岁,无明显诱因突发左侧肢体无力,左上肢抬举不能,左下肢站立不稳,伴跌倒,无法自行站起,家属拨打120急救电话,我院120院前急救小组立即出诊,并联系告知家属让患者维持原地不动,以免造成二次伤害。急救小组约8:02到达现场,现场评估患者左侧肢体活动不利,伴头晕乏力,初步判断为脑血管疾病,需立即入院治疗!

时间就是生命!8:30分,患者到达我院急诊科,紧急启动卒中预案,开放卒中绿色通道,协调各相关科室,患者紧急送入抢救室、心电监护、吸氧,急叫床旁心电图……立即组织完善颅脑MRI+MRA,初步诊断为急性缺血性脑卒中。
告知患者家属,考虑急性脑梗死可能性大,发病时间在溶栓时间窗内,排除溶栓禁忌症,NIHSS评分2分,家属同意溶栓治疗,于09:45给予急性缺血性脑卒中静脉溶栓治疗。
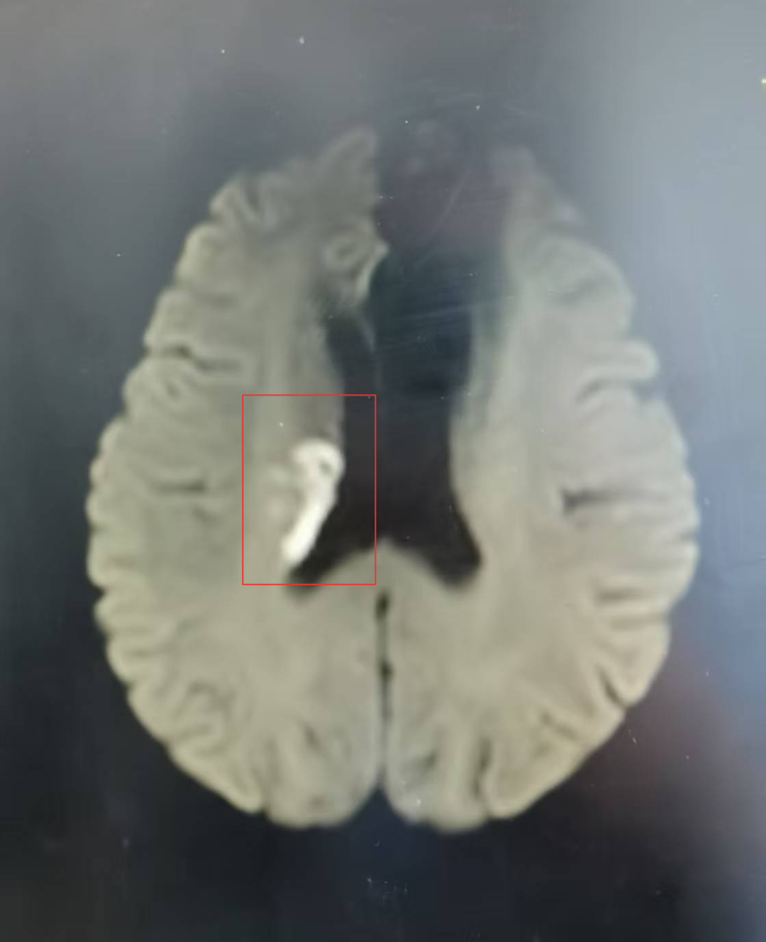
溶栓前后对比
(溶栓前后对比)
溶栓再通获益大、风险低,排除溶栓禁忌、家属沟通签字后立即给予阿替普酶静脉溶栓治疗,随即将患者置于溶栓床,进行溶栓前的准备,给予心电监护,吸氧,成功启动静脉溶栓治疗。术后李女士左侧肢体无力等症状消失,NIHSS评分0分,自述四肢有力。
李女士病情稳定后,转入神经康复科继续进行早期康复训练:采用中医外治技术针灸、耳穴压豆等,结合相关康复功能锻炼(语言、运动、平衡等),并由康复治疗师指导其进行自我锻炼,促进受损功能恢复,目前已经顺利出院。
急性缺血性脑卒中的抢救时间窗非常短,整个过程要求医院院前急救、急诊、神内、影像、检验等科室通力合作、无缝对接、分秒必争。
日照市康复医院从制度、流程、人员、设备等方面进行再动员、再培训、再融合、再改进,不断加强卒中绿色通道建设,实现预防、管理、宣教、诊疗全链条式管理,从而对脑卒中进行分片化、网格化、精细化管理,搭建起区域内卒中急救网络,为人民群众提供全生命周期的健康医疗服务。

静脉溶栓治疗是急性脑梗死最有效的治疗措施,可大幅降低致残率和致死率。患者发病后迅速通过药物溶解静脉血管内的新鲜血栓而使血管再通,部分或完全恢复脑组织血流灌注,最大程度的减少脑细胞的死亡,达到减轻神经功能障碍改善患者预后的目的。
神经康复科卜斐医师在这里再次提醒大家:请牢记中风120,早期识别脑卒中。1看一张脸,不对称、口角歪斜、流口水。2看两只胳膊,平行举起时,单侧胳膊抬不起。0即聆听患者、言语不清、说不出话、表达困难。当出现以上症状时,应及时拨打120。抓住发病后黄金4.5小时,最大程度挽救梗死的脑细胞。时间就是生命,时间就是大脑,请记住,每一分钟的延误会导致190万个脑细胞死亡。少一分延误,多一分健康。
日照市康复医院急诊科电话:7931120
120院前急救电话:7931116
神经康复科门诊电话:7931100
(免责声明:部分文字及图片来源于网络,仅供学习、交流使用,不具有任何商业用途,版权归原作者所有,如有问题请及时联系我们以作处理。)
- 上一篇:【聚焦看莲康】 —— 儿童康复中心!
- 下一篇:绝处逢生!他们从“死神”手中抢人!


