手术后,他的“心脏养护”才刚刚开始
专业守护
从“心”开始
日照市康复医院心脏康复科
今年73岁的于大爷(化名),半月前突发持续性胸痛被紧急送至我院急诊科。检查发现,于大爷患有急性广泛前壁心肌梗死,情况危急。既往有高血压病史4年,血压最高达170/95mmHg,4年前还因“肾肿瘤”接受过左肾切除术。面对于大爷复杂的病情,心脏康复科团队迎难而上,迅速为他制定了个体化的综合救治方案。
01
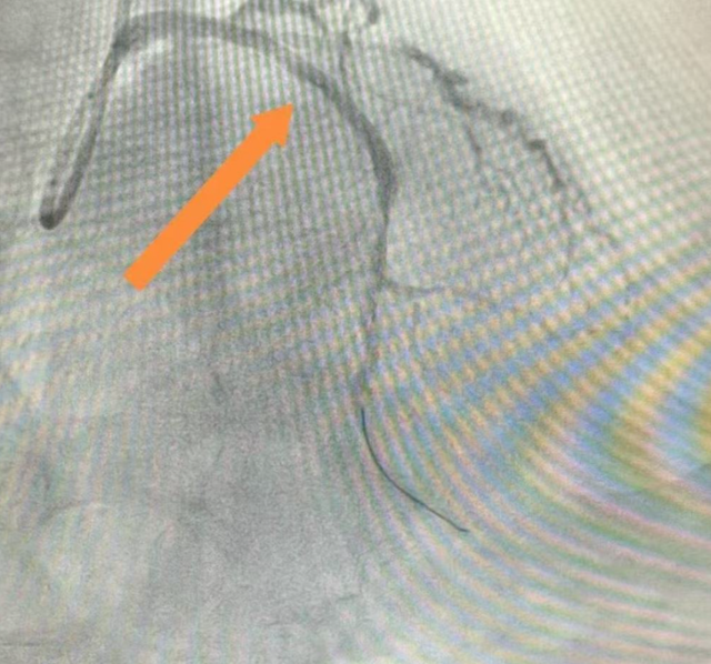
生命接力:迅速开通堵塞的血管


冠脉造影检查显示,于大爷心脏的重要血管——前降支近段完全闭塞,另外两处血管也存在严重狭窄。这意味着心肌供血严重受损,每一分钟延迟都会导致更多心肌细胞坏死。心脏康复科团队迅速为于大爷施行了急诊介入手术,成功在前降支近段植入支架,血流逐渐恢复,胸痛症状随之缓解。
02
心脏康复:从救治到管理的完整体系


心脏康复科主任吴志刚表示,手术成功开通血管只是生命抢救的第一步。考虑到于大爷高龄、伴有高血压病史且为单肾的特殊情况,团队为他量身定制了全面的心脏康复方案。“我们不仅关注血管的开通,更致力于患者心脏功能的全面恢复与长期健康。”吴主任介绍,团队为于大爷制定了循序渐进的运动训练计划,提供了专业的膳食营养指导,并密切监测其血压波动,及时、精准地调整药物治疗方案,于大爷的症状得到有效控制。通过系统的心脏康复管理,他正逐步恢复日常生活能力,重拾生活信心。
03
科普时间

急性心肌梗死是冠心病的严重表现类型,是需要长期管理和治疗的慢性病。通过药物治疗、介入治疗、生活方式调整和定期随访的综合管理,可以有效控制病情,提高生活质量。
心脏康复的专业价值——许多患者认为血管开通后就“万事大吉”,实际上,专业的心脏康复至关重要。我院心脏康复科提供的服务包括:
个体化运动处方,安全有效地改善心脏功能
合理用药指导,平衡疗效与安全性
心血管危险因素综合管理
心理支持和睡眠管理
定期监测和随访
专家提醒
心脏疾病的管理是一场需要耐心与毅力的长期征程。即使进行了支架植入术,部分患者仍需坚持健康生活方式,按医嘱服药,定期复查,才能维持长期疗效。我院心脏康复科致力于为心血管疾病患者提供急性期救治、稳定期康复、长期预防的全流程医疗服务,帮助更多患者重返健康生活。
咨询电话:7930646、7991621
科室简介

日照市康复医院心脏康复科目前有员工14人,其中医师6人,康复治疗师1人,护士8人,标准床位51张。
科室主要从事高血压、冠状动脉粥样硬化性心脏病,心肌梗死,心绞痛、心力衰竭,心房颤动、早搏等各种类型的心律失常、高脂血症、心肌病、心脏瓣膜疾病的中西医结合规范诊疗。常规开展选择性冠状动脉造影和冠状动脉内支架置入术,冠脉介入治疗是解决冠状动脉狭窄或闭塞的重要方法,它可以改善冠状动脉血流,挽救濒临死亡或严重缺血的心肌,从而恢复心肌细胞功能,可以大大降低患者因心肌缺血发生心绞痛,心肌梗死,心律失常,心力衰竭,心源性休克和心源性猝死,改善了近远期预后,极大提高了患者生活质量。
心脏康复科团队引进国际先进康复理念,通过运动(主要包括6分钟步行试验、运动心肺、运动踏车)、营养、药物和心理干预等手段,帮助心脏病患者恢复身体功能和心理健康,减少心脏病的复发率和死亡率,提高生活质量。
(免责声明:部分文字及图片来源于网络,仅供学习、交流使用,不具有任何商业用途,版权归原作者所有,如有问题请及时联系我们以作处理。)
- 上一篇:寒露已至,宝宝安康“推”出来!
- 下一篇:预防伤害致残,共创健康生活
