凌晨3点的生命竞速!
深夜1点,睡梦中的刘大叔(化名)突然被剧烈的胸痛惊醒,持续两个多小时的压迫性疼痛让家人意识到情况危急。当120急救电话接通的那一刻,一场牵动多学科团队的生死救援就此展开——我院急诊科120院前急救小组立即组织出诊,医院启动胸痛急救绿色通道,心脏康复科、检验科、影像科等多学科团队迅速到位。




01.
与时间赛跑的深夜集结
"患者有典型胸痛症状,高度怀疑急性心梗!"院前急救医生在飞驰的救护车上作出初步判断,随车护士立即电话通知医院做好接诊准备。此时,医院导管室已亮起无影灯,检验科备好了快速心肌酶检测试剂,心脏康复科首席心血管病专家潘月河、主任吴志刚接到通知后,顶着凌晨的寒风从家中赶来,值班医生高余也早已在急诊科等待接诊。
患者术前术后心电图对比:



02.
毫米之间的生死较量
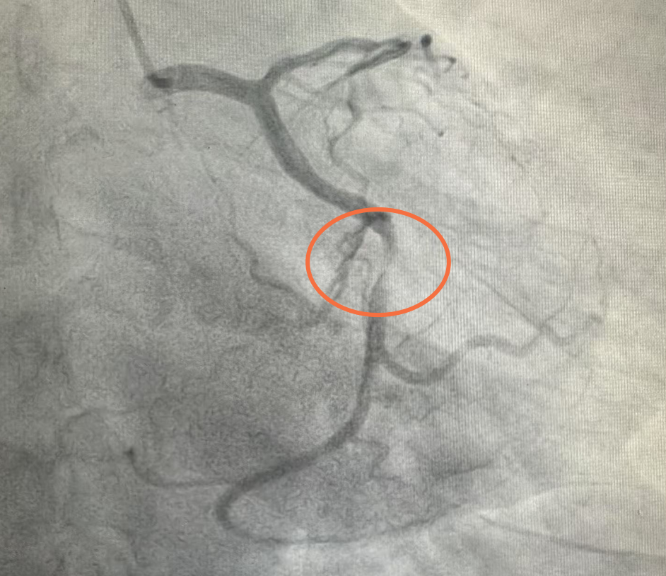
凌晨3点49分,患者到达医院急诊科,立即安排完成床旁心电图、心肌酶谱等检查,结合检查结果诊断为:急性心肌梗死;而冠状动脉造影影像显示,患者心脏的三条主要血管中,左回旋支中段竟有99%的狭窄,血管壁的病变处犹如定时炸弹,随时可能完全闭塞。"这就是引发心梗的'罪犯血管',必须立即开通!"吴志刚与介入团队迅速达成共识。与患者及家属充分沟通后,决定为患者行PCI(经皮冠状动脉介入术)治疗。

在患者家属颤抖的签字笔迹未干时,导丝已通过桡动脉穿刺的微小切口,精准抵达病变部位。当支架在血管狭窄处稳稳张开,原本细若游丝的冠脉血流瞬间恢复畅通,监护仪上急促的报警声终于归于平静。

03.
从急救到康复的生命延续
术后第二天,刘大叔胸痛症状有效缓解,呼吸平稳顺畅、无其他不适。心脏康复团队根据他的病情特点为其制定了心肺功能训练等康复计划,帮助他顺利度过急性期,并逐步恢复日常生活能力。"很多人以为支架手术就是治疗的终点,其实心脏康复才是守护生命的第二道防线。"吴志刚主任指着监护仪上平稳上升的运动耐量数据解释道。
术前血管严重堵塞:

术后血管完全开通:

"临床数据显示,急性心梗在夜间发病率较白天增加30%。"潘月河特别指出,当出现持续时间≥15分钟的典型缺血性胸痛(特征为胸骨后压榨感或紧缩感,可向左肩、下颌或上肢放射),尤其伴随冷汗、恶心、呼吸困难等症状时,务必立即拨打120急救电话。预防方面,建议40岁以上人群定期进行心脏CT血管成像检查,特别是患有高血压、糖尿病或长期吸烟人群,早期发现血管斑块可比出现症状时获得更优治疗效果。
日照市康复医院急诊急救实行24小时值班服务。当您遇到紧急情况时,请拨打急诊电话“120”并说明到日照市康复医院就诊,或拨打急诊电话0633-7931120,我们将会全力为您提供急诊服务,为您的健康保驾护航!
科室简介

日照市康复医院心脏康复科目前有员工14人,其中医师5人,康复治疗师1人,护士8人,标准床位51张。
科室主要从事高血压、冠状动脉粥样硬化性心脏病,心肌梗死,心绞痛、心力衰竭,心房颤动、早搏等各种类型的心律失常、高脂血症、心肌病、心脏瓣膜疾病的中西医结合规范诊疗。常规开展选择性冠状动脉造影和冠状动脉内支架置入术,冠脉介入治疗是解决冠状动脉狭窄或闭塞的重要方法,它可以改善冠状动脉血流,挽救濒临死亡或严重缺血的心肌,从而恢复心肌细胞功能,可以大大降低患者因心肌缺血发生心绞痛,心肌梗死,心律失常,心力衰竭,心源性休克和心源性猝死,改善了近远期预后,极大提高了患者生活质量。
心脏康复科团队引进国际先进康复理念,通过运动(主要包括6分钟步行试验、运动心肺、运动踏车)、营养、药物和心理干预等手段,帮助心脏病患者恢复身体功能和心理健康,减少心脏病的复发率和死亡率,提高生活质量。

吴志刚 心脏康复科主任
毕业于滨州医学院临床医学系,从事心血管内科临床工作18年。心血管内科主治医师,山东医师协会心脏康复医师分会委员、日照市第二界脑心同治委员会委员。
擅长心内科常见的疾病包括高血压、冠状动脉粥样硬化性心脏病,心肌梗死,心力衰竭,各种类型的心律失常、高脂血症、心肌病、心脏瓣膜疾病的治疗及选择性冠状动脉造影和冠状动脉内支架放置术。在中西医结合治疗高血压、冠心病(心绞痛、心肌梗死、心律失常、心力衰竭)、心肌炎、心肌病、风湿性心脏病、先天性心脏病、心脏神经官能症等方面,积累了丰富的临床经验。
- 上一篇:想减肥又不想动?这个办法适合您→
- 下一篇:专家型医院|魏延霞:以行动担当医者使命!
