快一点!再快一点!这场“大脑保卫战”我们赢了!
3月的清晨,一滩打翻的豆浆还在地面流淌,张先生却突然瘫倒在餐桌旁——右半边身体像被抽走了筋骨,含糊不清的发音让家人心跳漏了一拍。这场与死神赛跑的战役,在康复医院救护车的警笛声中悄然打响...到达急诊科,医生迅速展开初步检查,结合患者症状和检查结果,诊断为急性缺血性脑卒中!

生死时速:19分高危评分背后的较量
"左侧大脑中动脉闭塞!"
急诊室里,监护仪刺耳的警报声中,一组数字让空气凝固:
▸ NIHSS评分19分(注:>15分属危重型脑梗)
▸ 右侧肢体肌力0级(完全瘫痪)
▸ 黄金救治窗口仅剩27分钟
医护团队快速完成
"卒中急救四重奏":
完成检查排除脑出血
获取血液检测报告
启动多学科会诊
静脉溶栓药物精准注入
一场与时间的赛跑在医护人员的密切配合下正式拉开序幕!
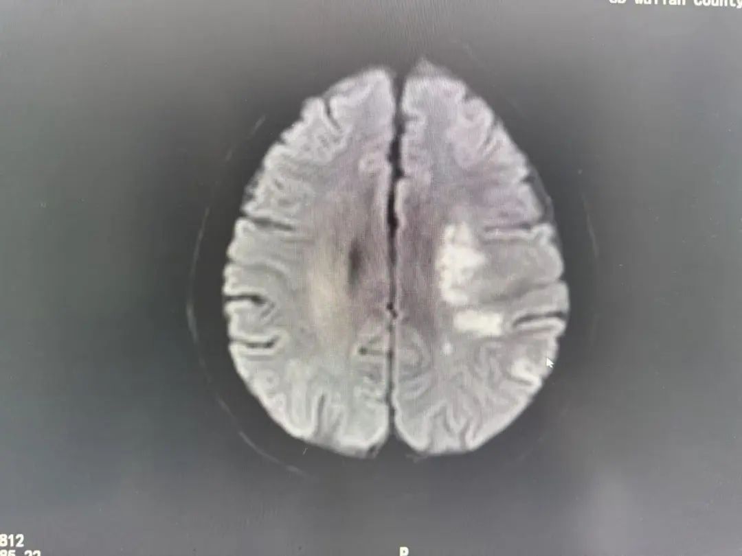
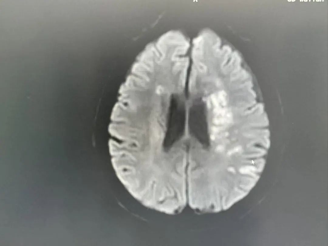
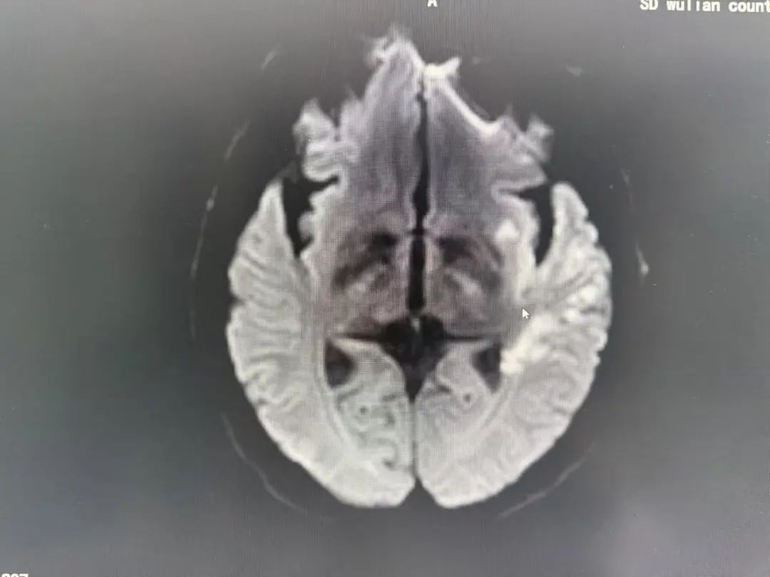
头颈部CTA检查揭开了更凶险的真相:
多发性脑梗死:左侧大脑关键区域受损
血管危机:左侧大脑中动脉闭塞,血流几乎中断
罕见盗血现象:锁骨下动脉重度狭窄,导致血流“偷走”了脑部的供血
"就像同时遭遇交通管制和抢劫犯,必须用溶栓药物打通核心堵塞,同时控制盗血现象。"


医学有温度,生命有希望
这场生死竞速的背后,是急诊科、神经康复科、影像科、检验科等团队的默契配合,更是医学力量对生命健康的全力守护。当张先生再次拥抱家人时,我们更加坚信:及时、科学、温暖的救治,能让更多家庭重燃希望之光。

第一道防线:识症状,抢时间
突发口角歪斜、肢体无力、言语不清?
立即拨打120!每延误1分钟,脑细胞死亡增加190万。
第二道防线:控危险,防复发
高血压、糖尿病、吸烟是卒中“帮凶”,需定期监测、规范治疗。
第三道防线:重康复,早训练
病情稳定后尽早介入康复训练,大脑可塑性让功能恢复成为可能。
第四道防线:调心态,树信心
卒中后抑郁发生率较高,家属的陪伴与专业心理支持同样关键。

日照市康复医院已开通脑卒中绿色通道,24小时待命,为生命抢赢时间!如遇紧急情况,请立即拨打“120”并说明到日照市康复医院就诊,或拨打急诊电话0633-7931120,一旦接到求助,我院将迅速启动急救绿色通道,从院前急救、转运途中监护,到院内紧急诊疗,各环节紧密衔接、高效运转,确保患者能够在最短时间内获得专业、有效的救治。
科室简介

日照市康复医院神经康复科现有职工17人,医师9人,其中主任医师1人,副主任医师1人,主治医师1人,住院医师6人,护士7人,康复治疗师1人,标准床位 51 张。
科室集神经内科、神经外科、神经介入、神经康复于一体,注重疾病的早期筛查预防、诊断、适宜技术早期治疗与系统康复。在神经系统常见疾病诊治及脑血管病康复治疗等方面有着丰富的经验。主要从事脑梗死、短暂性脑缺血发作、脑出血、颅脑创伤、帕金森病、癫痫、头晕、头痛、睡眠障碍的诊疗及康复。常规开展高血压脑出血、脑室出血、硬膜下血肿等精准微创手术治疗,硬膜外出血、重型颅脑损伤等急诊开颅手术,急性缺血性脑血管病静脉溶栓治疗、脑血管造影、脑供血动脉支架置入术、脑动脉球囊扩张成形术、脑动脉溶栓术、软通道微创颅内血肿清除术、颅骨修补、良性阵发性位置性眩晕(耳石症)手法复位,以及术后管理等。
科室秉承“疾病早期筛查干预+规范化综合治疗+早期神经康复”理念,为入院患者进行24小时内早期床边康复评估、治疗,形成了脑血管病治疗及神经康复的无缝隙连接,极大改善患者功能障碍,降低了患者的致残率,提升了患者的生活质量和自理能力,帮助患者早期回归家庭,回归社会。
神经康复科咨询电话:7931152 7931100

医学博士、副主任医师
擅长脑动脉瘤、脑脊髓血管畸形血管内介入栓塞及显微手术夹闭,脑动脉狭窄、颈动脉狭窄的血管内介入治疗,颈动脉狭窄颈动脉内膜剥脱手术,神经内镜下垂体瘤微创治疗,脑肿瘤精准微创手术治疗,神经内镜下脑出血及蛛网膜囊肿的手术治疗,重症颅脑外伤救治与康复。

主任医师
擅长神经内科的常见病、多发病及疑难病症的诊治,及神经康复、睡眠障碍康复和头痛头晕的康复技术等。获日照市科学技术进步奖二等奖1项,三等奖2项,五莲县科学技术进步奖一等奖1项,二等奖3项,三等奖1项,2004年被评为第三届日照市优秀科技工作者并给予记市政府三等功。

副主任医师
在高血压脑出血、重型颅脑损伤手术治疗和急危重症病人救治方面积累了丰富的临床经验。开展的改良立体定向软通道微创颅内血肿清除术和危重病人一体化诊疗技术提升了危重病人的生存率,获得了良好的治疗效果。发表国家级及省级以上医学论文多篇,著书三部。完成市级科研课题并获得二等奖一项、三等奖一项。
(免责声明:部分文字及图片来源于网络,仅供学习、交流使用,不具有任何商业用途,版权归原作者所有,如有问题请及时联系我们以作处理。)
- 上一篇:影像科:24 小时坚守,助力患者高效就医!
- 下一篇:赞!这条“生命通道”打通了!




