微创介入——为生命撑起 “保护伞”
生命恰似暗夜中熠熠生辉的烛火,
在危急时刻,
往往需要有一双温暖且坚定的手,
及时为其添柴加薪,
使之冲破黑暗,重焕生机。
近日,日照市康复医院心脏康复科成功上演了一场“与死神赛跑”的紧急救援行动,凭借精湛技术,通过微创介入手术成功挽救了一名急性心肌梗死患者的宝贵生命。

"当时胸口像压着大石头,浑身冒汗,真以为挺不过去了......"回忆起几天前突发的惊险一幕,年近七十的王先生(化名)仍心有余悸。
患者回忆,当天上午在家休息时,然感胸闷、憋气,并伴有阵发性胸痛,持续时间长短不等,严重时疼痛放射到肩背部,痛苦不堪。家人见状随即拨打我院急诊电话(7931120),出诊医生根据患者持续5小时胸痛等典型症状,高度怀疑急性心肌梗死(AMI),迅速联系医院启动急救绿色通道,为患者争取宝贵的救治时间。
心脏康复科门诊迅速反应,第一时间为患者安排完成床旁心电图、心肌酶谱等检查,结合检查结果诊断为:1. 急性心肌梗死;2. 冠状动脉粥样硬化性心脏病。更加紧张的是,患者还有 “高血压” 病史,且一直未系统治疗。高血压会持续增加心脏负荷,导致冠状动脉粥样硬化程度不断加重,使得心肌梗死的病情更加复杂和危险。在这种情况下,心脏随时可能因不堪重负而出现严重心律失常、心力衰竭等致命性并发症,生命体征随时可能急转直下,手术治疗刻不容缓。

这是一场争分夺秒的战斗,每一秒都关乎着患者的生命安危... 与患者本人及家属充分沟通后,心脏康复科主任吴志刚带领团队迅速制定出手术方案,紧急协调手术室、导管室,患者即刻被转运至手术室做术前准备。
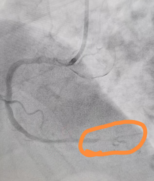
术中高效完成桡动脉穿刺,并即刻进行冠状动脉造影检查,影像学提示右冠状动脉远端完全闭塞。团队迅速评估病情,果断采用导丝技术成功通过闭塞病变段,随后使用预扩球囊对病变部位进行充分扩张,有效恢复血管管腔通畅性,在此基础上精准定位并成功植入支架一枚,实现右冠远端血运重建。术后造影显示血流恢复至TIMI 3级,手术顺利完成。
术前血管严重堵塞
术后血管完全开通
【技术亮点】
1.桡动脉入路:避免传统股动脉穿刺卧床限制,术后即可下床活动
2.精准定位:IVUS(血管内超声)指导下确保支架完美贴壁
3.智能后扩:Quantum球囊系统实现精准压力控制,减少血管损伤
我院心脏康复科创新推行"急救-治疗-康复"一体化模式。术后第二天,王先生恢复良好,康复治疗师即为其制定了个性化康复方案,配合体外反搏、心肺功能训练等特色技术,助力患者实现从"保命"到"高质量生活"的跨越。
【专家提示】
"秋冬季是心梗高发期,当胸痛持续超过15分钟,特别是伴随大汗、恶心等症状时,务必立即拨打120急救电话!"吴志刚强调,高血压、糖尿病患者更应定期进行心脏评估,我院开展的冠状动脉CTA、运动心肺功能检测等特色项目,可实现对心脏疾病的早筛早防。
随着高危、复杂冠心病患者的增加,单纯的药物治疗已不能满足患者目前的诊疗需求。冠状动脉造影是目前诊断冠状动脉粥样硬化性心脏病的一种常用的方法,是诊断冠心病的金标准,冠状动脉造影集“诊断”和“治疗”于一体,为胸痛、胸闷、气短及心慌等症状,怀疑冠心病的患者提供了明确的诊断依据。特别是临床高度怀疑冠心病的患者,行冠状动脉造影可明确冠脉病变的狭窄程度,更有利于医生提出有效的治疗方案。
介入是利用医学影像设备特别是数字减影血管机的监测和引导,将介入器材如导管、导丝等通过穿刺和导管技术送入到体内特定器官组织,对病变进行精确的监测与针对性的治疗。它与内科的吃药打针和外科的开刀手术并列成为现代治疗的三大治疗技术。与其它诊疗措施相比,介入具有创伤小、安全性高、治疗效果好、可重复性好等优点。它的适用范围很广,适用于全身各部位血管的造影、各种实体肿瘤(如肝癌、肺癌等)及各种良性肿瘤(如肝血管瘤、子宫肌瘤等)的栓塞治疗、血管性疾病的治疗、影像定位的各种穿刺等等多个领域。


