喝杯“奶茶”,给胃肠道做个体检吧!
常言道“人吃五杂粮,哪能不生病?
胃肠不舒服,
害怕做胃肠镜,
药店随便买点药草草了事,
最终结果往往会延误疾病的诊断,
错失治疗的最佳时期。
但想了解胃肠健康状况,
克服恐惧“魔咒”又谈何容易?
没关系,
小编帮你们另想办法~~

日照市康复医院超声科
开展的胃肠充盈超声造影检查这项技术,
无痛、无创,
喝完一杯冲泡好的美味“奶茶”
(胃肠充盈超声造影剂)
就可以轻松完成胃部检查!
让患者可以轻松发现胃肠疾病。
01
什么是胃肠超声造影检查?
所谓的胃肠超声检查是指口服声学造影剂在胃腔充盈之后,常规经腹超声可显示正常胃壁结构,病灶位置、大小和形态特点以及与胃壁层次结构的对应关系,彩色多普勒超声还可观察病灶的血供状态。简单来说,患者只需在空腹状态下喝下一杯类似米糊样的造影剂,即可轻松完成胃部造影检查。
造影剂主要由莲藕、玉米、黄豆、陈皮、薏苡仁、大米可食用原料制作而成,口感好且可以为人体所吸收。口感与平时所食用的谷物糊无差异,食用后,随餐代谢,没有任何伤害。同时,造影剂采用了脱糖工艺,糖尿病患者可以放心服用。
02
胃肠超声造影检查的优势
1.可清晰观察胃壁五层结构:包括胃粘膜层、粘膜肌层、粘膜下层、固有肌层及浆膜层,有助于判断病变浸润范围、程度及病变的界限。胃镜虽可直观胃粘膜的细微病变,但对于未突破粘膜层的壁内及壁外病变显示不佳,而胃肠超声造影却能清晰显示,弥补胃镜的不足。
2.立体观察:可显示胃的形态,从而发现胃镜难以诊断的胃下垂等疾病。
3.实时动态:可显示胃肠壁的蠕动情况及胃肠充盈和排空等变化,可为发病率极高的胃肠功能性疾病提供诊断依据。
03
胃肠超声造影检查能代替胃镜吗?
不能,胃超声与胃镜是合作关系,互为补充,相互依赖,彼此不能替代。胃肠镜仍是胃肠道疾病检查的金指标!
胃肠超声造影虽然有上述许多优点,但无法像胃镜一样对胃粘膜进行直接的观察,发现病变后也无法取病理活检,所以胃肠超声造影是很好的筛查手段,发现病变后常需要胃镜的补充,只有两者相结合才能更好的诊断胃肠疾病。
04
能检出的病症
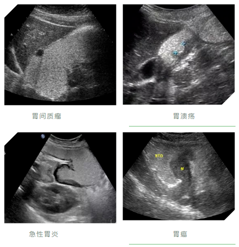
1.肿瘤性病变:胃癌、胃息肉,胃间质瘤,十二指肠肿瘤等图片为胃窦癌胃肠超声造影图像;
2.炎性与溃疡性病变:急、慢性胃炎,胃及十二指肠溃疡等;
3.先天性病变:幽门狭窄、胃囊肿、胃壁胰腺异位症等;
4.胃运动异常及梗阻性病变:贲门失驰缓症,十二指肠-胃返流,幽门、贲门梗阻等;
5.胃十二指肠周围脏器病变:胆总管下段结石、肿瘤,胰腺肿瘤等;
6.其他:胃下垂、胃石症、胃底静脉曲张等。
适应人群
有胃肠不适者;
健康体检人群;
尤其适用于老人、儿童、孕妇、心脏病患者、高血压患者、糖尿病患者,以及无法耐受胃肠镜、X线钡餐检查的患者;
胃肠手术前方案制定、治疗后复查等。
禁忌及检查注意事项
禁忌:
急性胃扩张、上消化道穿孔患者、上消化道活动性大出血及临床禁食者禁止使用。
注意事项:
1.检查前一日晚餐宜进食清淡软食,不宜食用易产气食物;
2.受检者检查前需空腹8-12小时,禁食禁水;
3.过度肥胖及大量腹水患者检查效果欠佳。
日照市康复医院超声科拥有一支诊断经验丰富,高素质的超声诊断队伍。引入的飞利浦EPIQ7超声诊断仪配备有凸阵探头(腹部探头),线阵探头(浅表探头)、心脏探头和腔内探头,更有日照市人民医院超声科接连利主任常年坐诊我院,为患者的治疗提供更为优质的服务。
(咨询电话:0633-7931109)
