微创介入
精准施治
日照市康复医院
近日,日照市康复医院心脏康复科团队成功为一名近70岁老年冠心病患者实施了冠脉支架植入术,精准在前降支(LAD)病变处植入支架一枚,解决了其长达6年的胸闷、憋气等症状,使患者的心脏重归有力跳动,再度焕发生机。
01
病史复杂,精准诊断
是关键
今年67岁的王大爷(化名),因发作性胸闷、憋气6年余,近3天症状加重入院。入院后,心脏康复科团队第一时间为其完善相关检查,初步诊断为冠状动脉粥样硬化性心脏病。

患者入院心电图
患者病史复杂,包括慢性胃炎病史10余年、头痛病史6年余、窦性心动过缓病史10年余等,均未进行系统治疗,给本次治疗带来了不小的挑战。心电图显示窦性心动过缓,最慢心率仅45次/分;冠脉造影显示前降支(LAD)近中段存在95%的重度狭窄,血流受限严重,随时可能引发急性心肌梗死,情况十分危急。
02
精准支架植入,打通“生命主干道”
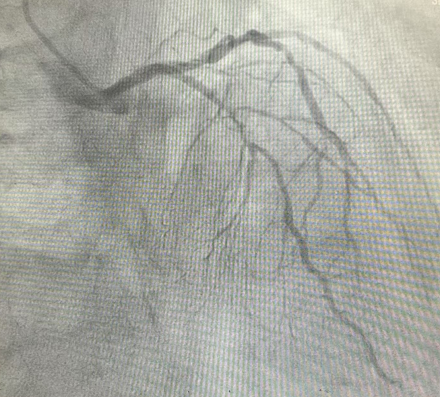
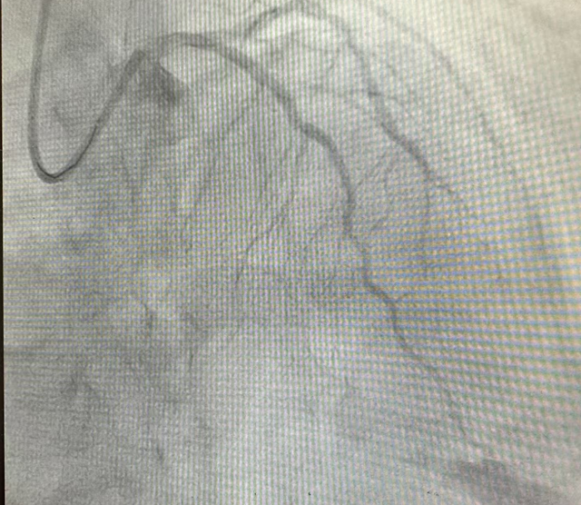
前降支(LAD)是心脏最重要的供血血管之一,被称为“生命的主干道”。心脏康复科团队在细致评估后,决定采用冠脉支架植入术为王大爷进行治疗。术中通过桡动脉入路,将导丝精准送至LAD病变部位,利用球囊扩张狭窄处后,成功植入一枚药物涂层支架。支架释放后,血管狭窄处立即得到扩张,完善造影示支架贴壁良好,TIMI 血流三级。手术全程仅用时40分钟,创伤小、恢复快。术后患者胸闷、憋气症状显著缓解,生活质量大幅提升。


前降支病变血管术前术后图像对比
03
实力保障,守护健康
日照市康复医院心脏康复科拥有一支经验丰富的介入治疗团队,配备国际先进的DSA数字减影系统,常规开展高血压、冠状动脉粥样硬化性心脏病,心肌梗死,心绞痛、心力衰竭,心房颤动、早搏等各种类型的心律失常、高脂血症、心肌病、心脏瓣膜疾病的中西医结合规范诊疗,为众多心脏疾病患者带来了新生。
医生建议:早发现,早治疗
冠心病是一种慢性疾病,需长期管理。轻中度患者可通过药物治疗和生活方式调整控制病情,而严重狭窄或急性心肌梗死患者则需及时进行介入治疗。日照市康复医院心脏康复科提供从预防、诊断、治疗到康复的全周期管理服务,为患者的心脏健康保驾护航。
健康热线:
0633-7931102
冠心病防治小贴士
健康饮食:低盐、低脂、低胆固醇,多吃蔬菜水果,少吃油炸和高糖食物。
适度运动:每周至少进行150分钟的中等强度有氧运动,如快走、游泳等。
戒烟限酒:吸烟是冠心病的重要危险因素,戒烟可显著降低发病风险。
定期筛查:40岁以上人群应每年检查血脂、血糖和血压,冠心病高危人群需定期进行心脏彩超和冠脉CTA检查。
科室简介

日照市康复医院心脏康复科目前有员工14人,其中医师5人,康复治疗师1人,护士8人,标准床位51张。
科室主要从事高血压、冠状动脉粥样硬化性心脏病,心肌梗死,心绞痛、心力衰竭,心房颤动、早搏等各种类型的心律失常、高脂血症、心肌病、心脏瓣膜疾病的中西医结合规范诊疗。常规开展选择性冠状动脉造影和冠状动脉内支架置入术,冠脉介入治疗是解决冠状动脉狭窄或闭塞的重要方法,它可以改善冠状动脉血流,挽救濒临死亡或严重缺血的心肌,从而恢复心肌细胞功能,可以大大降低患者因心肌缺血发生心绞痛,心肌梗死,心律失常,心力衰竭,心源性休克和心源性猝死,改善了近远期预后,极大提高了患者生活质量。
心脏康复科团队引进国际先进康复理念,通过运动(主要包括6分钟步行试验、运动心肺、运动踏车)、营养、药物和心理干预等手段,帮助心脏病患者恢复身体功能和心理健康,减少心脏病的复发率和死亡率,提高生活质量。
学科带头人

吴志刚 心脏康复科主任
毕业于滨州医学院临床医学系,从事心血管内科临床工作18年。心血管内科主治医师,山东医师协会心脏康复医师分会委员、日照市第二界脑心同治委员会委员。
擅长心内科常见的疾病包括高血压、冠状动脉粥样硬化性心脏病,心肌梗死,心力衰竭,各种类型的心律失常、高脂血症、心肌病、心脏瓣膜疾病的治疗及选择性冠状动脉造影和冠状动脉内支架放置术。在中西医结合治疗高血压、冠心病(心绞痛、心肌梗死、心律失常、心力衰竭)、心肌炎、心肌病、风湿性心脏病、先天性心脏病、心脏神经官能症等方面,积累了丰富的临床经验。
(免责声明:部分文字及图片来源于网络,仅供学习、交流使用,不具有任何商业用途,版权归原作者所有,如有问题请及时联系我们以作处理。)
