这份特别的“礼物”,谢主任收到了 !
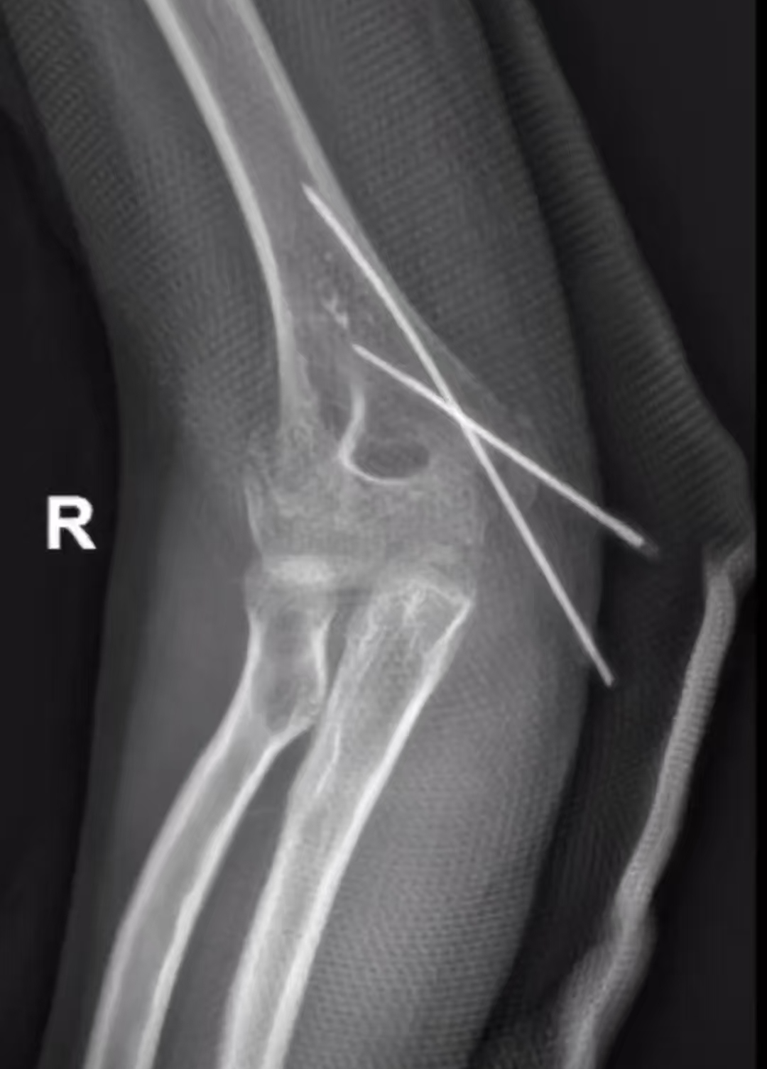
不慎从床上摔下后,她的右肘被钉入克氏针,术后关节僵硬日常活动受限,恐惧罩着这个仅仅10岁的孩子,家长亦是焦急万分。
“医生,孩子的手还能伸直吗?
以后还能打球吗?”...
今年7月,董女士带着女儿陈某某(化名)来到我院康复诊疗中心,
眼神中满是焦虑和期待。
因为这不是一次普通的磕碰,而是儿童肘部一种较为复杂的骨折类型——“肘关节髁间骨折”在作祟!这种骨折的处理直接关系到孩子手臂的终身功能,一旦处理不当,将严重影响手臂发育,甚至关系其一生的活动能力!
女孩是一名小学学生,平时酷爱网球、乒乓球等挥拍类运动。今年6月份的一天中午午睡时,不慎从床上跌落,右侧肘关节直接着地,当即疼痛难忍。外院就诊后被诊断为“右侧肘关节骨折、右侧肘关节髁间骨折、右侧肘关节关节水肿”,当天下午就进行了右侧肘关节切开骨折复位克氏针固定术。
术后虽然状态良好,但居家制动休息期间,因为克氏针部分外漏,孩子产生了强烈的恐惧心理,自我保护机制让她完全不敢活动右肘关节。据家长描述,居家期间关节活动度最大只能伸肘90度,没有任何主动关节活动和肌肉放松。
康复遇难题:术后6周仍无法活动
眼见居家康复效果不佳,家长遂于7月份带孩子来到我院康复诊疗中心寻求专业帮助。接诊的康复功能评定科主任谢天宇为患儿进行了详细的初期评定,发现了诸多问题:
谢天宇分析后指出,患儿因手术后的过程中没有得到术前康复宣教,因此无正确的康复意识,导致肌肉力量流失严重,为后期康复造成了困难。同时,术后没有住院进行系统康复,长期制动以及防御性保护,导致患儿产生了废用性肌萎缩;缺乏主动功能训练,康复进程明显滞后。
个性化康复方案:儿童康复不能
暴力牵拉
面对患儿的特殊情况,谢天宇表示:“孩子刚开始来做康复的时候,只能屈肘90度,因为固定时间太久,肱二头肌肌腱已经短缩。”
“因为小朋友与成人发育不同,要考虑骨骺线的问题,所以不能暴力牵拉以及动态关节活动度处理,只能从主动性运动,以及松解关节软组织方面去处理,而且孩子年龄小,要格外注意疼痛反应激烈等问题。”
家长期待康复治疗能够控制疼痛肿胀、恢复力量和活动度,使孩子能够使用右侧肘进行日常生活,后期还能参加乒乓球比赛,顺利回归正常生活。为此,谢天宇为患儿制定了全面的治疗计划:
减轻疼痛:通过中频电刺激促进肌肉收缩,高频脉冲电治疗改善关节炎症,松解肱二头肌肌腱短缩及周围肌肉紧张问题,训练后冰敷防止水肿;
改善关节活动度:通过缓解肌肉紧张及肌腱短缩问题,鼓励患儿主动性肘关节运动扩大关节活动度,在肩关节前屈90度位置进行主动肘关节屈伸训练,并布置“家庭作业”,指导家长在家中辅助进行相关活动;
改善关节水肿:利用肌内效贴布促进关节周围血液流通和淋巴回流。
10次精准康复见证改变:
从不能屈伸到挥拍30分钟
从7月到9月,将近两个月的时间,谢天宇共为患儿进行了10次康复治疗,并悉心指导家长帮助患儿进行家庭康复训练。经过系统康复,取得了令人欣喜的进步:
家长也用镜头记录了孩子的
康复进程:
超级坚强的小朋友,你真的很棒!
最重要的是,孩子重新获得了生活的信心和勇气,那些焦虑和恐惧情绪随着手臂功能的恢复而烟消云散。家长第一时间将剪辑好的康复历程视频分享给谢主任。视频中,董女士特别表达了对谢主任精湛技术和优质服务的衷心感谢。这份特别的“礼物”,不仅是对谢主任专业能力与服务精神的高度认可,更是对康复治疗价值最温暖的诠释!
家长必知小贴士:
谢天宇提醒广大家长,儿童骨折术后康复需要精细、专业的方法,每个孩子都是独特的,康复方案必须因人而异,既要解决功能障碍,也要关注心理需求。早期、科学、系统的康复干预对于功能恢复至关重要,家长的正确理解和积极配合也是康复成功的关键因素。
1.黄金时间窗:移位骨折最好在8-12小时内处理,肿胀轻,复位容易。
2.警惕“5P征”(血管损伤信号):Pain (剧痛), Pallor (苍白), Paresthesia (感觉异常), Paralysis (麻痹), Pulselessness (无脉)。出现任何一项,立即急诊!
3.康复不能急也不能拖:遵医嘱按时复查、拆石膏/拔针,并在专业指导下进行康复锻炼,避免关节僵硬或过度活动影响愈合。
4.长期随访:部分患儿可能遗留轻微的提携角改变(肘内/外翻),需定期复查至骨骼发育成熟。
(免责声明:部分文字及图片来源于网络,仅供学习、交流使用,不具有任何商业用途,版权归原作者所有,如有问题请及时联系我们以作处理。)
